Il tuo sorriso, la nostra passione!
Noi siamo SGF medical!
SGF Medical è uno studio medico-odontoiatrico con sede a Roma (zona Eur, Fonte Meravigliosa), specializzato in terapie dentali all’avanguardia. Siamo da sempre impegnati a coniugare tecnologia, esperienza clinica e attenzione al paziente per offrire cure altamente qualitative, puntuali e personalizzate.
Il fulcro del nostro team!
Il Dr. Armando Ponzi si è laureato con lode in Medicina e Chirurgia presso l’Università “La Sapienza” di Roma. È specialista con lode in Anatomia Patologica e in Odontostomatologia. Parla correntemente inglese ed è un esperto riconosciuto in radiologia 3D e implantologia guidata.
Relatore nazionale e internazionale su tecniche avanzate di Implantologia, Socket Shield e Osseodensificazione, ha contribuito alla diffusione di protocolli clinici innovativi.
Relatore nazionale e internazionale su tecniche avanzate di Implantologia, Socket Shield e Osseodensificazione, ha contribuito alla diffusione di protocolli clinici innovativi.
Dr. Armando Ponzi
Medico odontoiatra.
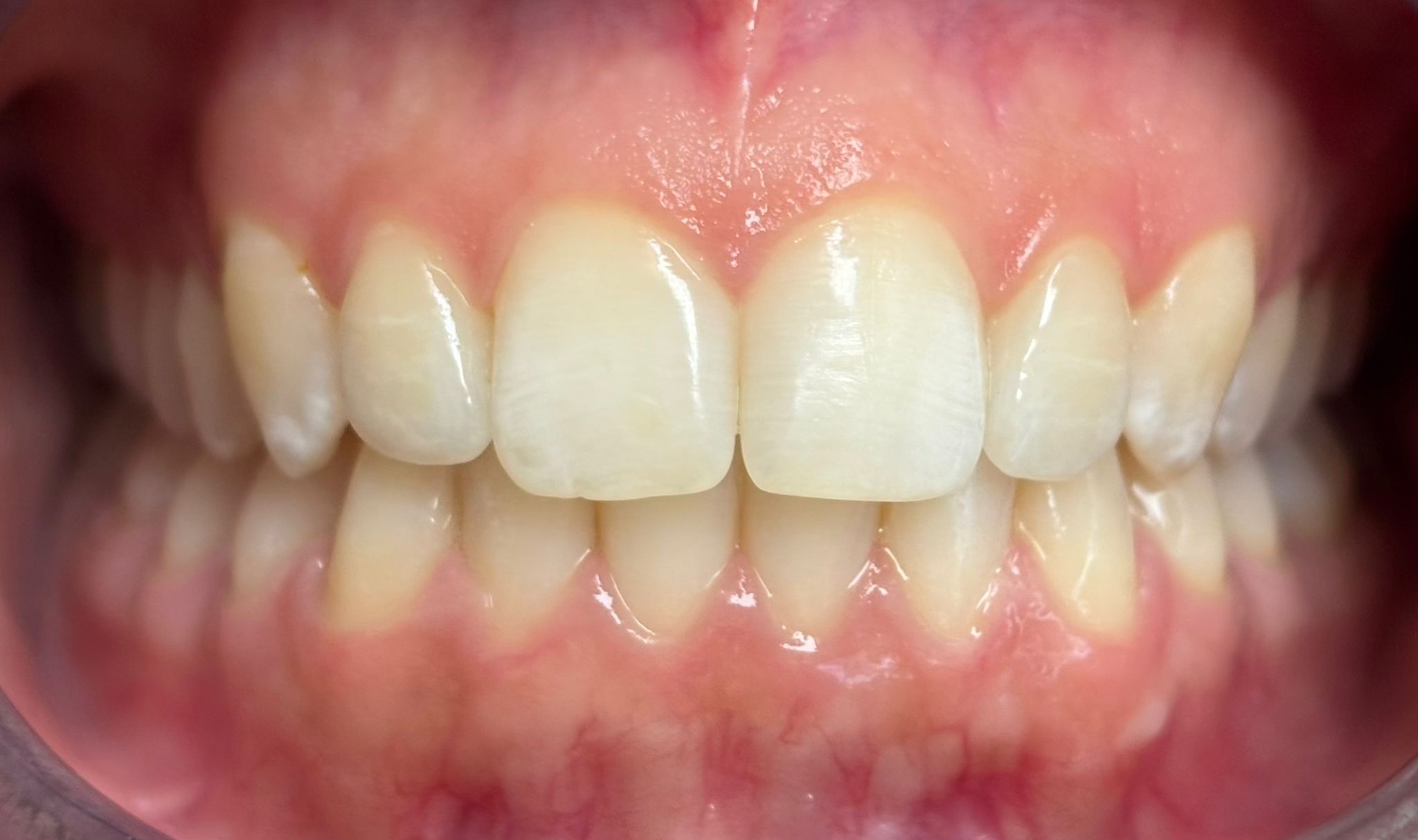
Materiali & Attrezzatura
I nostri materiali e attrezzature
Utilizziamo materiali di alta qualità e strumentazioni all’avanguardia per garantire risultati precisi, duraturi e confortevoli.
Dalle tecnologie digitali alla radiologia 3D, ogni innovazione nel nostro studio è scelta per migliorare la sicurezza, ridurre i tempi di trattamento e aumentare la qualità delle cure.
Dalle tecnologie digitali alla radiologia 3D, ogni innovazione nel nostro studio è scelta per migliorare la sicurezza, ridurre i tempi di trattamento e aumentare la qualità delle cure.

































